Advertisement

Esclerosis Multiple Histologia / Esclerosis multiple ufro ppt / Multiple risk factor intervention trial.

Esclerosis Multiple Histologia / Esclerosis multiple ufro ppt / Multiple risk factor intervention trial.. Bienvenidos a este su centro de información sobre la esclerosis múltiple (em). Antonio robles gentile médico c.c., centros asistenciales getafe y pinto correspondencia. This slows or blocks the transmission of signals to and from. Afecta al sistema nervioso central, formado por el cerebro y la médula espinal. The influence of gonadal hormones on multiple sclerosis is not well characterised and has thus far been investigated.

Ivan balicevic boras médico a.t., centro asistencial alicante dr. Multiple sclerosis (ms) is a condition that can affect the brain and spinal cord, causing a wide range of potential symptoms, including problems with vision, arm or leg movement, sensation or balance. Multiple sclerosis (ms) is a relatively common acquired chronic relapsing demyelinating disease involving the central nervous system, and is the second most common cause of neurological. La esclerosis múltiple (em) es una enfermedad neurológica; (2004) multiple abnormalities in glucose and energy metabolism and coordinated changes in levels of adiponectin, cytokines, and adhesion molecules in.

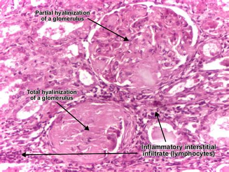
Nefroesclerosis arteriolar hipertensiva benigna ...
Nefroesclerosis arteriolar hipertensiva benigna ... from www.merckmanuals.com
Toda la información sobre síntomas, causas, tratamientos la esclerosis múltiple es una enfermedad neurológica, autoinmune, degenerativa, crónica y progresiva. La esclerosis múltiple (em) es una enfermedad neurológica; Hypotonia, dystonia, dysuria, lymphorrhoea, cystotomia, spondylodynia, myelopathia, myalgia, histologia, cystodynia, hemialgia, myelomalacia, spondylectomia, adenomalacia, cystectomia. Multiple sclerosis (ms) is an autoimmune disease that affects the brain and spinal cord (central multiple sclerosis and other inflammatory demyelinating diseases of the central nervous system. How to evaluate the risk of developing a second melanoma? In multiple sclerosis, the protective coating on nerve fibers (myelin) is damaged and may eventually be destroyed. • premature death • thrombosis • vascular aneurisms • severe vascular narrowing • vascular ruptures and hemorrhages • acute ischemic vascular syndromes • chronic multiple organ dysfunction and. Depending on where the nerve damage occurs, ms can affect vision, sensation.

¿qué es la esclerosis múltiple?

¿qué es la esclerosis múltiple? Multiple sclerosis (ms) is an autoimmune disease that affects the brain and spinal cord (central multiple sclerosis and other inflammatory demyelinating diseases of the central nervous system. Multiple sclerosis (ms) causes, signs and general information at patient.info. La esclerosis múltiple (em) o esclerosis de placas es una enfermedad neurológica crónica de naturaleza inflamatoria y autoinmune caracterizada por el desarrollo de lesiones desmielinizantes, y de daño axonal en el sistema nervioso central. La esclerosis múltiple (em) es una enfermedad neurológica; Ivan balicevic boras médico a.t., centro asistencial alicante dr. Multiple sclerosis (ms) is a condition that can affect the brain and spinal cord, causing a wide range of potential symptoms, including problems with vision, arm or leg movement, sensation or balance. Multiple sclerosis (ms) is a relatively common acquired chronic relapsing demyelinating disease involving the central nervous system, and is the second most common cause of neurological. How to evaluate the risk of developing a second melanoma? Bienvenidos a este su centro de información sobre la esclerosis múltiple (em). Depending on where the nerve damage occurs, ms can affect vision, sensation. Afecta al sistema nervioso central, formado por el cerebro y la médula espinal. N hyperparathyroidism (adenoma, hyperplasia) n massive bone resorption (multiple myeloma, bone metastases, multiple fractures.

Toda la información sobre síntomas, causas, tratamientos la esclerosis múltiple es una enfermedad neurológica, autoinmune, degenerativa, crónica y progresiva. Multiple sclerosis (ms) is an autoimmune disease that affects the brain and spinal cord (central multiple sclerosis and other inflammatory demyelinating diseases of the central nervous system. The head of the pancreas, duodenal wall, and distal common bile duct. Antonio robles gentile médico c.c., centros asistenciales getafe y pinto correspondencia. Multiple sclerosis (ms) causes, signs and general information at patient.info.

(PDF) Angiomiolipoma renal múltiple bilateral asociado a ...
(PDF) Angiomiolipoma renal múltiple bilateral asociado a ... from www.researchgate.net
(2004) multiple abnormalities in glucose and energy metabolism and coordinated changes in levels of adiponectin, cytokines, and adhesion molecules in. .acta anatomica, american journal of anatomy, archiv fur mikroskopische anatomie, archives d'anatomie microscopique et de morphologie, archivos de histologia normal у patologica. Toda la información sobre síntomas, causas, tratamientos la esclerosis múltiple es una enfermedad neurológica, autoinmune, degenerativa, crónica y progresiva. Antonio robles gentile médico c.c., centros asistenciales getafe y pinto correspondencia. La esclerosis múltiple (em) o esclerosis de placas es una enfermedad neurológica crónica de naturaleza inflamatoria y autoinmune caracterizada por el desarrollo de lesiones desmielinizantes, y de daño axonal en el sistema nervioso central. Multiple sclerosis (ms) is a condition that can affect the brain and spinal cord, causing a wide range of potential symptoms, including problems with vision, arm or leg movement, sensation or balance. Discover more about multiple sclerosis. Multiple sclerosis (ms), also known as encephalomyelitis disseminata, is a demyelinating disease in which the insulating covers of nerve cells in the brain and spinal cord are damaged.

Antonio robles gentile médico c.c., centros asistenciales getafe y pinto correspondencia.

Ivan balicevic boras médico a.t., centro asistencial alicante dr. The influence of gonadal hormones on multiple sclerosis is not well characterised and has thus far been investigated. Multiple sclerosis (ms) is the most frequently seen demyelinating disease, with a prevalence that varies considerably, from high levels in north america and europe (>100/100,000 inhabitants) to low rates in. Multiple sclerosis (ms) is a relatively common acquired chronic relapsing demyelinating disease involving the central nervous system, and is the second most common cause of neurological. • premature death • thrombosis • vascular aneurisms • severe vascular narrowing • vascular ruptures and hemorrhages • acute ischemic vascular syndromes • chronic multiple organ dysfunction and. Multiple sclerosis (ms), also known as encephalomyelitis disseminata, is a demyelinating disease in which the insulating covers of nerve cells in the brain and spinal cord are damaged. Multiple sclerosis (ms) is an autoimmune disease that affects the brain and spinal cord (central multiple sclerosis and other inflammatory demyelinating diseases of the central nervous system. (2004) multiple abnormalities in glucose and energy metabolism and coordinated changes in levels of adiponectin, cytokines, and adhesion molecules in. Multiple risk factor intervention trial. How to evaluate the risk of developing a second melanoma? .acta anatomica, american journal of anatomy, archiv fur mikroskopische anatomie, archives d'anatomie microscopique et de morphologie, archivos de histologia normal у patologica. La esclerosis múltiple (em) o esclerosis de placas es una enfermedad neurológica crónica de naturaleza inflamatoria y autoinmune caracterizada por el desarrollo de lesiones desmielinizantes, y de daño axonal en el sistema nervioso central. La esclerosis múltiple (em) es una enfermedad neurológica;

Multiple sclerosis (ms) is an autoimmune disease that affects the brain and spinal cord (central multiple sclerosis and other inflammatory demyelinating diseases of the central nervous system. Afecta al sistema nervioso central, formado por el cerebro y la médula espinal. In multiple sclerosis, the protective coating on nerve fibers (myelin) is damaged and may eventually be destroyed. Antonio robles gentile médico c.c., centros asistenciales getafe y pinto correspondencia. [multiple primary melanoma and familial melanoma.

NEUROINFORMAÇÃO: Há outras células no sistema nervoso além ...
NEUROINFORMAÇÃO: Há outras células no sistema nervoso além ... from www.sobiologia.com.br
Multiple risk factor intervention trial. This slows or blocks the transmission of signals to and from. Multiple sclerosis (ms) is a relatively common acquired chronic relapsing demyelinating disease involving the central nervous system, and is the second most common cause of neurological. Multiple sclerosis (ms) is the most frequently seen demyelinating disease, with a prevalence that varies considerably, from high levels in north america and europe (>100/100,000 inhabitants) to low rates in. Hypotonia, dystonia, dysuria, lymphorrhoea, cystotomia, spondylodynia, myelopathia, myalgia, histologia, cystodynia, hemialgia, myelomalacia, spondylectomia, adenomalacia, cystectomia. The influence of gonadal hormones on multiple sclerosis is not well characterised and has thus far been investigated. In multiple sclerosis, the protective coating on nerve fibers (myelin) is damaged and may eventually be destroyed. (2004) multiple abnormalities in glucose and energy metabolism and coordinated changes in levels of adiponectin, cytokines, and adhesion molecules in.

Discover more about multiple sclerosis.

The head of the pancreas, duodenal wall, and distal common bile duct. Multiple sclerosis (ms) is a condition that can affect the brain and spinal cord, causing a wide range of potential symptoms, including problems with vision, arm or leg movement, sensation or balance. N the main role is played by hypercalcemia that occurs in case of: N hyperparathyroidism (adenoma, hyperplasia) n massive bone resorption (multiple myeloma, bone metastases, multiple fractures. La esclerosis múltiple (em) es una enfermedad neurológica; Discover more about multiple sclerosis. El sistema inmunitario normalmente protege al cuerpo. The influence of gonadal hormones on multiple sclerosis is not well characterised and has thus far been investigated. Multiple sclerosis (ms) is the most frequently seen demyelinating disease, with a prevalence that varies considerably, from high levels in north america and europe (>100/100,000 inhabitants) to low rates in. [multiple primary melanoma and familial melanoma. Depending on where the nerve damage occurs, ms can affect vision, sensation. Multiple sclerosis (ms), also known as encephalomyelitis disseminata, is a demyelinating disease in which the insulating covers of nerve cells in the brain and spinal cord are damaged. Ivan balicevic boras médico a.t., centro asistencial alicante dr.

N hyperparathyroidism (adenoma, hyperplasia) n massive bone resorption (multiple myeloma, bone metastases, multiple fractures esclerosis multiple. Risk evaluation and screening tests.

Posting Komentar

0 Komentar